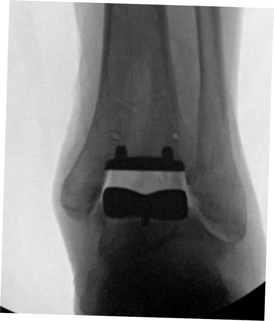
Join Paragon 28 for immersive cadaveric labs during ACFAS 2026 where you can work hands-on with two advanced total ankle systems. These focused sessions give podiatric surgeons the opportunity to explore technologies designed to improve outcomes for end stage ankle arthritis.
Strengthen your skills, collaborate with peers, and gain practical insights you can bring back to your practice.

